
With nearly half of the U.S. adult population living with some form of gum disease, many remain unaware of their symptoms and the potential problems it can cause. If caught in its earliest stage – gingivitis – the bleeding, swelling, and redness can be reversed, but how long will the process take? If you’ve recently discovered that you are dealing with gum disease, find out what it takes to restore the health of your soft oral tissues.
What is Gingivitis?
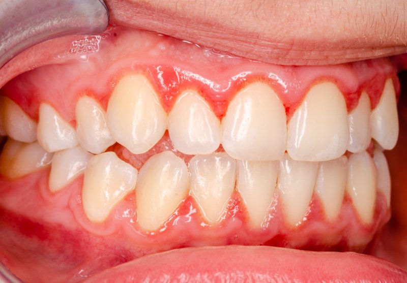
Gingivitis is the earliest stage of gum disease. It forms when bacteria (plaque) accumulate on your teeth and around your gumline, attacking the soft oral tissues and causing redness, inflammation, and bleeding when brushing or flossing your teeth.
When caught early on by your dentist, there is a chance you can reverse the symptoms if you commit to taking proper care of your oral health and hygiene.
What is Required to Reverse the Symptoms of Gingivitis?
After learning that you have gingivitis, your dentist will formulate a personalized treatment plan to help you address the problem. It will include staying on top of your oral hygiene routine at home, which might look something like the following:
- Brushing your teeth for two full minutes, twice a day. If you currently use a manual toothbrush, you might consider switching to an electric one, as this can provide a more thorough cleaning, especially around the gumline, and most come with a built-in timer.
- Use toothpaste that is designed to target plaque and minimize gingivitis.
- Rinse with an antibacterial mouthwash that is designed to reach hidden areas of plaque.
- Floss after meals and before you go to bed to remove any food debris that can cause plaque to form around the gumline. If using waxed dental floss is too hard, invest in a water irrigator.
In addition to improving your at-home oral health, you’ll also need to see your dentist regularly for dental checkups and cleanings. A qualified hygienist can remove plaque from your teeth and gumline so that irritation and redness do not continue to occur. You can also ask about your brushing and flossing techniques during these visits if you want to make sure you’re doing them right.
How Long Will It Take for Your Gums to Heal?
From the time you learn that you have gingivitis, you can expect it to take a few weeks before you notice a reversal of your gingivitis symptoms. However, you must be committed to prioritizing your oral hygiene routine and being mindful of other lifestyle habits that can cause gum disease (i.e., smoking, eating sugary or starchy foods, etc.). Giving up some of these daily practices can be beneficial if you want to take better care of your oral and overall health in the long run.
Learning you have gingivitis doesn’t have to be a hopeless reality. By making the necessary changes to reverse your symptoms, you can take back your gum health and finally restore your smile.
About the Author
Dr. Monica Boehmer is a dentist in Albuquerque who not only cares about patients’ teeth and gums but also their overall health. Since gum disease can impact more than just a person’s smile, she closely evaluates each case to ensure no signs of gingivitis exist. If they do, she and our team will work quickly to develop a plan that targets plaque and reverses the symptoms before they have a chance to worsen. If you’ve recently noticed that your gums are bleeding when brushing or flossing, contact us at (505) 271-8009 to schedule an appointment.